首頁 > 隱形矯正/隱適美
隱形矯正/隱適美 | 隱適美介紹
什麼是隱適美?
隱適美(Invisalign)是來自美國的隱形牙套品牌,透過透明、可拆卸的隱形牙套,
將原本不整齊的牙齒逐步移動到正確位置。
這種矯正方式不僅舒適,還能讓您在治療過程中不必擔心外觀問題,輕鬆擁有自信笑容。
隱適美牙套的製造地在哪裡?
隱適美隱形牙套全程由美國原廠製作。
醫師會先使用iTero口掃機精確掃描齒顎狀況,並將數據回傳至隱適美美國原廠進行矯正計劃的設計。
一旦計劃確定,原廠將開始製作第一副隱形牙套,並空運至台灣,確保每副牙套的品質與安全均經過美國原廠嚴格把關。
Dynamic Treatment動態治療
項目 |
動態治療(隱形牙套) | 傳統矯正(金屬矯正器) |
| 治療原理 | 透過牙套施加壓力使牙齒逐漸移動 | 利用矯正線張力配合金屬矯正器, 一次性施力讓牙齒移動 |
| 疼痛程度 | 每次移動約0.25mm,較溫和,疼痛感較低 | 一次性移動幅度較大,疼痛與不適較明顯 |
| 佩戴方式 | 每天需連續佩戴20-22小時 | 矯正器固定於牙齒上24小時,無法自行拆卸 |
| 佩戴者自律性 | 需高度自律,確實遵守佩戴時間 | 不可自行拆卸,依賴性較低,但仍需配合醫囑 |
| 更換頻率 | 每7-14天更換一副牙套 | 由醫師調整矯正線或更換橡皮筋等,依回診安排進行 |
| 回診頻率 | 約每6-8週回診一次,較彈性; 部分國外病患半年領一次牙套也可行 |
每月固定回診一次 |
| 回診時間 | 回診流程簡單,所需時間較短 | 需30分鐘以上 |
| 治療效果 | 效果良好但需高配合度 | 效果穩定,適合配合度較低者 |
隱形矯正常見輔助措施在隱形矯正期間,為提升牙齒移動效率並精準達成治療目標,常需搭配下列輔助措施:
| 輔助工具 | 主要功用 | 常見適用比例 |
| Attachment (黏豆豆) | 提供施力點、協助牙齒移動/轉動 | 100%患者 |
| 鄰接面去釉 (IPR 修牙縫) | 釋放空間、改善擁擠與黑三角 | 80–90% 患者 |
| 橡皮筋牽引 | 調整咬合、中線,下巴位置 | 60-70%患者 |
| 骨釘 (TAD)+橡皮筋 | 提供穩定錨點,解決大幅度移動或缺牙情況 | 20-40%患者 |
Attachment(黏豆豆)
客製設計形狀、大小與位置皆由譚醫師依治療計畫精準規劃。
作用牙齒表面光滑,不易受力;黏豆豆能提供「抓力」,讓牙齒依預期方向移動。
材質與補牙用複合樹脂相同,色素易附著。飲用茶、咖啡或食用咖哩等深色食物時,請特別注意清潔。
移除時機動態治療結束即拆除,染色問題也隨之消失。
治療計畫中的紅色豆豆提供醫師方便看診
實際情況如左圖,較不明顯,近看還是有凸起感。
鄰接面去釉(IPR修牙縫)
目的 在牙齒無足夠移動空間時,微量磨除鄰接面的琺瑯質,創造 0.1–0.5mm的縫隙。
優點 緩解輕~中度牙齒擁擠 減少黑三角 降低拔牙矯正比例 改善牙弓比例與咬合功能
圖1修完牙縫即變成圖2
常見問題
修牙縫會不會敏感?僅磨除琺瑯質層,不侵及象牙質與牙髓,多數人不會產生敏感症狀。
何種情況適合 IPR?牙齒擁擠、門牙外形比例失衡、上下排牙弓幅寬不協調等。
橡皮筋牽引與骨釘(TAD)
| 牽引方式 | button+橡皮筋 | 骨釘 (TAD)+橡皮筋 |
| 主要功用 | 將小型金屬或樹脂扣(button)黏於牙面,繫上橡皮筋產生方向性拉力。 | 於牙槽骨植入微小鈦合金骨釘,提供穩定錨點後掛橡皮筋。 |
| 適用情況 | 一般咬合調整、中線對齊 | 深咬、開咬、缺牙、大範圍移動、嚴重稜亂等複雜病例 |
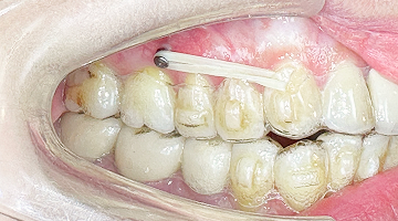
拉橡皮筋會有兩種方式可以拉。第一種(圖1)是把橡皮筋的裝置(button)黏在牙齒上,第二種(圖2)是打骨釘(TAD)
配戴守則
1依醫囑配戴時數與更換頻率(通常每日更換)。
2button 或 TAD 若脫落,請立即聯繫診所安排補黏/重植。
3不規則配戴恐延長療程或導致反效果。
常見問題
何時需要拉橡皮筋?加速牙齒移動、調整咬合關係、矯正下巴位置或對齊牙弓中線。
何時須改用骨釘?空間不足、需大幅度移動、缺牙或假牙無法作為錨點時。
動態治療結束後,即轉入靜態治療(維持器) 階段,以確保矯正成果長期穩定
Static Treatment Phase靜態治療階段說明
當動態矯正治療告一段落,經患者與醫師充分討論後,若決定結束矯正療程,會進行以下步驟:
STEP1
移除矯正輔助裝置包括口內的 attachment(豆豆)、button(橡皮筋裝置)、TAD(骨釘)等
STEP2
進行最終口掃與資料紀錄使用 iTero 進行最後一次口內掃描,並拍攝術後口內與外觀照片,以作為療程結案記錄。
STEP3
訂製原廠維持器掃描資料將送至隱適美公司,製作專屬的 Vivera 維持器。
上述步驟完成後,即正式進入「靜態治療階段」。
關於維持器
靜態治療所使用的維持器與動態矯正期間的牙套不同,其材質更厚、更硬,是為了長期維持牙齒排列穩定而設計。
※提醒:千萬不能使用最後一副矯正牙套作為長期維持器,因為牙套材質會隨時間產生彈性疲乏,無法有效維持牙齒位置,反而可能導致牙齒移位!
常見問題
-
Q為什麼需要靜態治療?
隨著年齡增長,牙齒會自然地有「向近心移動」的趨勢,也就是往中線靠攏的本能反應。
若沒有持續配戴維持器,就可能導致牙齒排列再次凌亂,讓之前動態治療的努力與費用前功盡棄。
因此,靜態治療是確保矯正成果的關鍵一步!
-
Q維持器要戴多久?
維持器需視為「長期配戴」的裝置,甚至需有「終生配戴」的觀念。
不過配戴時數可以隨牙齒穩定度做調整:
·剛結束矯正時:建議每天配戴 20~22 小時 ·隨著牙齒穩定後:可逐步減少至僅於睡眠時配戴 ·配戴時間可依照醫師指示,逐步遞減
-
Q一副維持器就能用一輩子嗎?
不行,維持器屬於「消耗品」,使用一段時間後容易出現變形、損壞、變色、氣味等問題。
·靜態治療初期會提供三副維持器輪替使用,延長使用壽命並確保清潔衛生。 ·譚醫師建議搭配使用「牙套清潔錠」,維持口腔衛生與維持器的清潔度。 ·若發現維持器有破損、變形或遺失,建議盡快回診重新製作,以免影響治療效果。
