不做手術也改善開咬了!隱適美畢業生+1
我終於~咬!合!正!常!了!!!!(吶喊
開咬真的困擾我好久好久,終於輪到我分享我的畢業心得😭✨
其實我不是那種一看就覺得牙齒亂的類型,拍照也蠻敢笑的,
角度對了沒事,角度錯了...上排牙齒超凸、牙齦都跑出來 say hi👋
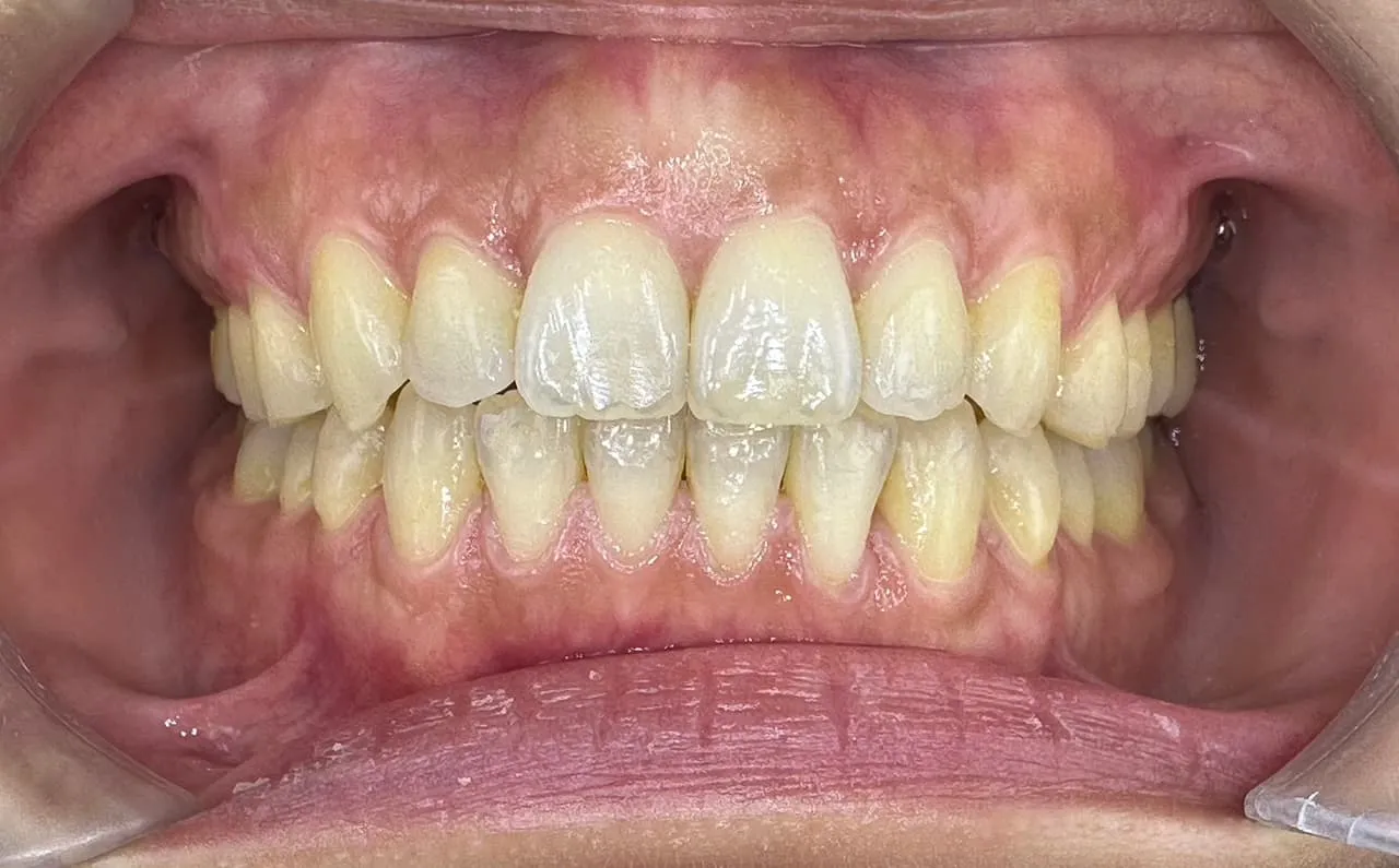
這是矯正前的me👇

你能想到的綽號我都被取過,笑得太開多少會有困擾…
但真正讓我下定決心矯正的,是「吃東西」...
我吃飯都要把食物推到兩側用臉頰咬,像倉鼠一樣鼓著臉吃😩

因為工作關係我不想戴傳統鋼牙套,就選了隱適美~
先說不管做哪種矯正,醫師一定要找經驗豐富的
當初真的不知道要怎麼決定
後來是在家附近篩選到剩兩間分別諮詢+看過醫師的矯正案例後
決定在藝品牙醫給譚醫師做!有經驗的醫師還是比較讓人放心
加上診所氛圍診所不會給人那種冰冰舊舊的感覺
譚醫師本人也是「頻率對」的那種人~
你們知道...有些醫師雖然很專業,但你會覺得有...距離感(?)
像譚醫師講話節奏我覺得很放鬆,也會仔細聽我在意的地方
不會那種一副「你不要問題那麼多」的態度
OK然後~剛開始戴的時候牙齦超!酸!
覺得有人在拉扯我牙齒🫨🫨🫨
我第一副戴上去那兩天,摘下來都爆多口水...
但大概一週後就慢慢適應了,再來就是有幾次換新的一副時候會微酸這樣
醫師是有跟我說,因為開咬的部分比較難改善~所以會比一般人的時間久
後面幾個階段也是醫師說:「我們這邊再調整一點,會更自然」
有在care你的臉型跟咬合,而不是只在追求進度
不過慢慢來也好,才能調整到我很滿意又很自然的角度
我大概到第九個月才突然發現:欸!我用門牙可以咬東西了欸!!!
那個感覺真的超~級~感~動🥹 一直習慣用後牙咬的我感覺很神奇
想說噢天啊我怎麼沒有早個幾年做矯正呢....而且還好我的狀況不用打骨釘!!
當初爬文看到很多案例要打骨釘就覺得抖抖的
醫師也說如果不是必要,他不會建議患者打
畢竟打麻醉、拉嘴角那些真的很多人很抗拒
我的狀況後期是用拉橡皮筋解決~
有些階段是拉半天,有些階段是全天拉
而且連拉橡皮筋的安排醫師都有系統的仔細規劃,懷疑醫師是J人🤣
這個期間剛開始也是很酸很不適應,剛開始還會被橡皮筋彈到...後來就得心應手了,就像戴隱形眼鏡一樣,越戴越順手的概念

矯正的這段過程不只是變好看,吃東西也不再心累又嘴酸
謝謝那個當初勇敢踏進診間的我,還好沒有拖到好幾年後才去!!
跟你們分享前後對比照!總覺得視覺上臉都變小了對吧!好開心🤭

打到這想到個小插曲~矯正期間有一次我女兒一早起來喊牙齒痛,她又是超怕看牙的小孩…說什麼都不去之前小時候的牙醫看,竟然說:「我要給你的牙醫叔叔看!」
真的是~很會指定🤣
大概是有幾次她陪我回診,譚醫師都會很親切地跟她打招呼,連小孩都擄獲了
問了一下診所還好譚醫師願意加診幫她檢查一下,媽媽真的超感謝🥹
這段時間每次回診都像回老家一樣~現在要畢業了還有點不捨(好誇張)
謝謝那個當初鼓起勇氣的我,還好沒拖到幾年後才做~
要是沒矯正,我可能還在用倉鼠咬法吃飯吧🫠
放上一張自己笑起來超氣質(自己講😆)的照片當ending📸
想矯正咬合的大家,真的要趁早
早早享受美麗的牙齒跟好好吃東西的生活!!!
