帶女兒矯正的心得
老實說,當初要不要讓女兒矯正,我真的考慮了很久。
身為媽媽,總是會擔心——戴牙套會不會痛?要戴多久?會不會影響吃東西、講話?
一開始只是覺得女兒的牙齒好像哪裡怪怪的,
吃東西常常卡卡的、講話時嘴巴有點不對勁,
有時候還會流口水😅,我就開始有點擔心。
心想是不是咬合不太對?
畢竟正值換牙的年紀,這時候沒處理好,長大後就麻煩了。
後來我就開始上網查資料、看別人矯正的經驗,心裡還是沒底
結果最巧的是!居然發現我們家的鄰居是牙醫師~譚醫師
更巧的是~他居然是專門做矯正的,當下真的覺得天助我也😂
原本還在煩惱,結果最專業的醫師就離家不遠,這緣分也太神奇了吧😂😂😂
我想這應該是緣分的安排,我就決定去譚醫師桃園區的藝X牙醫
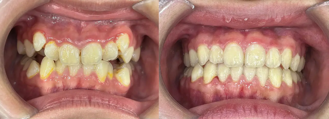
第一次檢查他說女兒那時候換牙期恆牙空間不夠,「虎牙」卡住沒位置長咬
合也都開開的,難怪吃東西不太順~笑起來也有明顯兩個洞

經過一番討論
加上女兒也不想變鋼牙妹,我們就從國一那年開始戴隱形牙套
剛開始戴牙套那陣子,女兒每天都喊「牙齒好緊、好酸」,
有幾次還偷懶沒戴夠時間被醫師抓到
但慢慢地,她自己開始習慣、也變得有責任感。
看著她從一開始抗拒、到後來主動檢查牙套有沒有戴好,
那種成長的感覺真的很感動❤️
後來直到差不多~上高一前拆掉,整整兩年多的時間
矯正結果我跟女兒都超滿意,分享給你們正面與側面照

說真的,過程比我想像中順利很多。
譚醫師超有耐心,每次調整都會細心說明,
現在女兒也越來越懂得照顧自己的牙齒。
看著她從戴牙套的小國中生,變成現在 16 歲笑起來超亮眼的小辣妹
那種成就感真的不是三言兩語可以形容的!!

現在回頭看,真的覺得當初的決定太對了。
謝謝診所還有譚醫師,讓孩子不只是牙齒變整齊
整個人都變得更有自信、更愛笑❤️

👉 真的想跟其他家長說:
孩子的換牙期真的很關鍵!
提早檢查、提早處理,會少走超多冤枉路~
快去找找家附近的牙醫吧
原文出處 ►► https://www.dcard.tw/f/orthodontics/p/260186875